当社は、少子高齢化など医学的・社会的に重要な課題の研究開発に取り組んでおり、女性・小児に関わる疾患領域も対象としています。国立大学法人東北大学大学院医学系研究科病理検査学分野 鈴木貴教授、田中美桜助教、NECソリューションイノベータ株式会社(NES)との共同研究として、乳がんの凍結病理切片1)を用いた術中迅速診断2)を支援する人工知能の開発に取り組んで参りました。この度、共同研究成果がまとまり、「人工知能(AI)を用いた物体検出手法の一つであるシングルショットマルチボックス検出器(SSD)3)を活用した乳がん術中迅速診断」に関する論文が、The Tohoku Journal of Experimental Medicineに掲載されましたのでお知らせいたします。
Yamaguchi M, Sasaki T, Uemura K, Tajima Y, Kato S, Asakura T, Takagi K, Yamazaki Y,Masamune A, Miyata T, Suzuki TArtificial Intelligence for Breast Carcinoma Detection in Histopathological Images Based on Single Shot Multibox Detector in Intraoperative Rapid Diagnosis, J-STAGE, Article ID: 2025.J120
( https://www.jstage.jst.go.jp/article/tjem/advpub/0/advpub_2025.J120/_article/-char/en )
共同研究の背景
乳がんは日本人女性のがんの中で最も患者数が多く、生涯に乳がんを患う日本人女性は11人に1人と言われています。しこりや画像診断等で乳がんが疑われた場合、最終診断は病理診断です。乳がんの迅速かつ適切な治療のためには、病理医による組織学的分類に基づく正確な診断が不可欠です。しかし、病理医の数には限りがあるため、AIを用いた病理診断支援の必要性が高まっています。
当社は東北大学らと共同で、病理画像から乳がんの病変部を検出するAIを開発しています。2022年10月7日に、AIを用いた物体検出方法の一つであるシングルショットマルチボックス検出器(SSD)による、病理組織学的顕微鏡写真4)における乳がん検出モデルに関する共同研究成果が、科学誌The Journal of Pathology Informaticsに掲載されたことをお知らせしました。検出モデルを3クラス(良性、非浸潤がん5)、浸潤がん6))または2クラス(良性、悪性)で分類したところ、それぞれ88.3%と90.5%の精度で診断が可能でした。
今回は、この技術を乳がんの術中迅速病理診断に応用しました。術中迅速診断は、乳がんの外科手術の範囲などを決定するための病理診断として極めて重要ですが、限られた時間や人材(病理医)で対応しなければならず、乳がんの病理診断に対して高い専門性を有する病理医が必要とされます。標本受領から10~20分以内に診断を下さなければならず、加えて凍結切片の品質は相対的に低下する傾向があります。これらの課題を解決するために、術中迅速診断の支援のためのAI開発に取り組んで参りました。
成果
943枚の乳がんの術中凍結切片の顕微鏡画像からなる学習データを、SSDモデルで学習させた後に、65枚の術中凍結切片画像を使用して、乳がんの診断精度を評価しました。
・乳がんの分類:良性、悪性(非浸潤がん、浸潤がん)を識別
・診断精度:
良性/悪性の分類:正解率92.3%
良性/悪性の分類に加えてがんの分類(非浸潤がん/浸潤がん):正解率89.2%
・平均検出時間:1枚あたり0.875秒
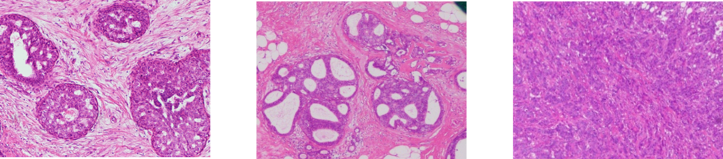
良性 非湿潤がん 湿潤がん

本AIを用いた診断技術により、乳がんの術中迅速診断の支援が可能となり、病理医の負担の軽減、術中診断による外科手術の支援に寄与する有効なツールとしての可能性が示唆されました。
1)凍結病理切片
手術中に乳がんなどの腫瘍から採取した組織を急速に凍らせて薄く切り、顕微鏡で観察することで診断を行う方法です。手術中に腫瘍の切除範囲が十分か、リンパ節に転移があるかなどを短時間で確認でき、必要に応じてその場で追加切除などの手術方針を決定するために用いられます。
2)術中迅速診断
手術中に摘出した組織を凍結して短時間で顕微鏡観察し、がんを診断する方法です。
3)シングルショットマルチボックス検出器(SSD)
画像検出AIの一種で、本研究では術中凍結切片の顕微鏡画像から乳がん部位を検出し分類するAIです。
4)病理組織学的顕微鏡写真
手術で摘出した乳がん組織やリンパ節の一部を薄く切り、染色した上で顕微鏡撮影した画像です。顕微鏡で観察することで、がん細胞の有無や形態、増殖の様子、周囲組織への広がりなどを確認できます。これにより、手術の効果や治療方針の決定に役立つ重要な情報を得ることができます。
5)非浸潤がん
がん細胞が基底膜を越えて周囲の間質に浸潤していない状態のがんです。周囲組織への転移のリスクは低いものの、術中診断では境界の確認が重要となります。
6)浸潤がん
がん細胞が基底膜を越えて周囲の間質に浸潤している状態のがんです。血管やリンパ管への浸潤や転移の可能性があり、手術の術式や切除範囲の判断に重要となります。