当社は、医学的あるいは社会的にも重要な課題を解決すべく取り組んでおり、特に少子高齢化の医療課題や、女性や小児の疾患の研究開発に注力しております。
この度、女性疾患領域の研究開発について、共同研究先である東北大学大学院医学系研究科病理検査学分野 鈴木 貴教授と当社の共同研究成果として、人工知能(AI)を用いた物体検出方法の一つであるシングルショットマルチボックス検出器(SSD)*1による、病理組織学的顕微鏡写真における乳がん検出モデルに関する論文が、科学誌「Journal of Pathology Informatics」に掲載されましたのでお知らせいたします。
Yamaguchi M, Sasaki T, Uemura K, Tajima Y, Kato S, Takagi K, Yamazaki Y, Saito-Koyama R, Inoue C, Kawaguchi K, Soma T, Miyata T, Suzuki T
Automatic breast carcinoma detection in histopathological micrographs based on Single Shot Multibox Detector Journal of Pathology Informatics Volume 13, 2022, 100147
(https://www.sciencedirect.com/science/article/pii/S2153353922007416?via%3Dihub)
病理学者による組織学的分類による診断は、乳がん患者の予後を改善するための適切な治療のために非常に重要です。しかし、病理医の数は限られているため、AI等による病理診断支援が重要になります。そこで、シングルショットマルチボックス検出器(SSD)を用いた顕微鏡的病理組織像の乳房病変自動検出モデルを示し、AIによる画像診断支援機能を評価しました。
試験方法として、データセットを構築し1,361の顕微鏡画像でSSDモデルをトレーニングした後に、315枚の画像を使用して、病理医と医学生のSSDモデル使用有無での病理診断結果の違いを評価しました。
診断支援モデルは、3クラス(良性、非浸潤がん*2、または浸潤がん*3)または2クラス(良性または悪性)の分類を試みたところ、それぞれ88.3%、90.5%の診断精度を達成し、物体検出における評価指標である IoU(Intersection over Union)*4は0.59でした。医学生の分類成績は、診断支援モデルを用いなかった場合の平均診断精度 67.4%に対し、診断支援モデルを用いると84.7%と非常に高い診断精度を得ることができました。
*1:シングルショットマルチボックス検出器(SSD)
物体検出モデルの一種。従来の畳み込みニューラルネットワーク(CNN)物体検出モデルと異なり、1度のCNN演算で物体の「領域候補検出」と「クラス分類」の両方を行います。これにより物体検出処理の高速化を可能にしました。
*2:非浸潤がん
乳がんの場合、がんが最初に発生する乳管・小葉にまだとどまっている状態。
*3:浸潤がん
乳がんの場合、乳管・小葉を越えて、乳管の外の間質にまで広がっているがん。
*4:IoU(Intersection over Union)
物体検出モデルで予測した物体バウンディングボックス領域と,正解バウンディングボックスの間での領域誤差量を評価する指標。Intersection を(over) Union で割った比率として,ボックス同士の重なり度を計算する指標であることから,そのまま「Intersection over Union 」と呼ばれています。
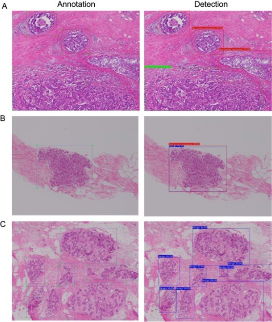
病理学者による検出の画像例

アノテーションの例(左)と診断支援モデルによる検出(右)。青、赤、緑のボックスは、それぞれ良性、非浸潤がん、浸潤がんを示した。A:診断支援による正確な検出のイメージ。B:同じ領域でラベルの異なるボックスが検出された画像。C:診断支援モデルがアノテーションに対して異なる形状の境界ボックスによって良性領域を正確に検出した画像。